Alimentele ultraprocesate „transformă” mușchii în grăsime: semnal de alarmă dintr-un nou studiu

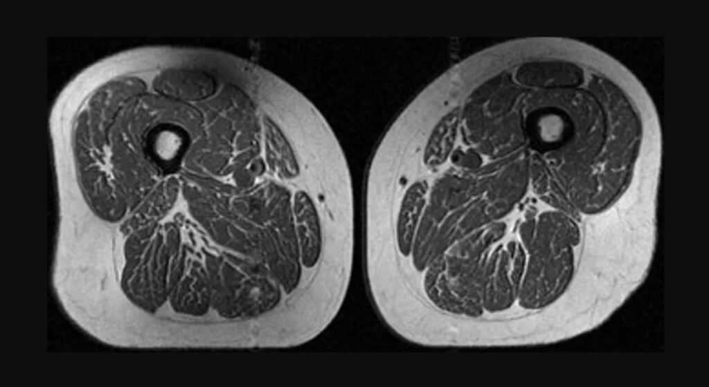
Analiza, bazată pe scanări RMN realizate pe peste 600 de persoane, arată o legătură clară între consumul de alimente ultraprocesate și creșterea grăsimii intramusculare. În unele cazuri, imaginile au relevat mușchi cu un aspect comparat de specialiști cu cel al unei „fripturi marmorate”, din cauza straturilor fine de grăsime infiltrate între fibrele musculare. Cercetătorii au observat că acest fenomen apare chiar și la persoane care nu prezentau semne de osteoartrită, sugerând că degradarea calității musculare începe înainte de apariția simptomelor, scrie CNN.

Efecte ascunse asupra sănătății

Grăsimea infiltrată în mușchi afectează capacitatea acestora de a se regenera și reduce forța musculară. În timp, acest proces poate contribui la apariția unor afecțiuni precum osteoartrita genunchiului. Mușchii coapselor sunt esențiali pentru stabilitatea articulațiilor, iar slăbirea lor crește presiunea asupra genunchilor, mai ales în cazul persoanelor supraponderale. Specialiștii avertizează că acest tip de degradare nu este limitat la o zonă a corpului, ci poate afecta și alte grupe musculare, indicând un proces sistemic.

Unul dintre cele mai importante concluzii ale studiului este că efectul nu depinde neapărat de aportul caloric total. Participanții care consumau mai multe alimente ultraprocesate prezentau un nivel mai ridicat de grăsime intramusculară, indiferent de numărul total de calorii ingerate. Această observație sugerează că tipul alimentelor joacă un rol esențial în sănătatea musculară, nu doar cantitatea.

De ce sunt problematice alimentele ultraprocesate

Aceste produse, care includ băuturi zaharoase, dulciuri, cereale rafinate sau snacksuri industriale, sunt deja asociate cu riscuri crescute de obezitate, diabet, boli cardiovasculare și depresie. Noul studiu adaugă pe listă și impactul asupra calității musculare. Este un factor mai puțin discutat, dar important pentru sănătatea pe termen lung. Cercetătorii subliniază că efectele nu sunt ireversibile. Reducerea consumului de alimente ultraprocesate și adoptarea unui stil de viață activ pot îmbunătăți calitatea musculară.

Exercițiile cu impact redus, precum mersul sau înotul, sunt recomandate pentru protejarea articulațiilor. În același timp, o dietă echilibrată poate contribui la reducerea grăsimii din mușchi. Deși studiul nu demonstrează o relație directă de cauzalitate, asocierea puternică identificată ridică noi semne de întrebare asupra efectelor pe termen lung ale alimentației moderne.

Publicat
Din categoria Politic